В случае присутствия новообразования злокачественного характера на рентгене будет заметно просветление или затемнение. На начальной стадии, когда диаметр опухоли составляет менее 5 мм, заболевание может быть незаметно при таком методе диагностирования.
Рентгенография является одним из наиболее точных методов диагностирования злокачественных опухолей. Обычно при подозрении раковых процессов процедура выполняется в двух проекциях: прямой и боковой.
- Как проявляется на рентгене центральный рак легких?
- Как проявляется перибронхиальное образование на рентгене?
- В каких случаях рентген позволяет точно определить злокачественную опухоль и метастазы?
Особенности определения новообразования на первой стадии: видно ли опухоль на снимке?
Сложность определения ракового процесса в легких на первой стадии с помощью рентгеновского снимка заключается в том, что маленькие опухоли могут попросту никак себя не проявлять.
Но диагностика онкологии на ранних стадиях очень важна. Ее успех в данном случае во многом зависит от оценки клинических симптомов, относительно которых предполагается локализация опухоли.
К примеру, если узел имеет внутрибронхиальное расположение, то он может быть не виден на рентгеновских снимках. В таких случаях рентгенолог должен обратить внимание на гиповентиляцию легочного сегмента, которая возникает при пораженном бронхе. Учитывая это, можно предположить наличие опухоли и на основании этих данных начать более серьезную диагностику, а затем и лечение.
Важно! Если доктор подозревает наличие злокачественного образования, то необходимо провести дополнительную диагностику, используя МРТ, радиосцинтиграфию и компьютерную томографию.
Если локализация опухоли является средостенной, то на снимке с боковой проекцией проявится затемнение негомогенного характера и средней интенсивности.
Иногда его принимают за плеврическое образование, но есть несколько параметров, по которым можно определить паракостальный рак:
- Наличие тени шарообразного характера. Становится заметным только при боковой проекции.
- Между участком, где есть затемнение, и грудиной присутствует острый угол.
Врачи подчеркивают важность рентгенографии как одного из первых этапов диагностики злокачественных образований в легких. На рентгенограммах можно выявить характерные изменения, такие как затемнения, узлы или деформации легочной ткани, которые могут указывать на наличие опухоли. Специалисты отмечают, что ранняя диагностика значительно повышает шансы на успешное лечение. Однако рентгенография не всегда дает полную картину, поэтому в большинстве случаев требуется дополнительное обследование, например, компьютерная томография или бронхоскопия. Врачи также акцентируют внимание на необходимости регулярных профилактических осмотров, особенно для людей с факторами риска, такими как курение или наследственная предрасположенность. Это позволяет выявить заболевание на ранних стадиях, когда лечение наиболее эффективно.
Диагностирование центрального злокачественного образования
Теперь рассмотрим, как выглядит рак легких на снимке рентгена, если речь идет о его центральном расположении. Опухоль проявится таким образом:
- Появление темного участка (инфильтрация).
- Нарушенная вентиляция.
- Соседним отделам свойственна компенсационная воздушность. Она возникает по той причине, что при сильном поражении участка легкого органу требуется компенсация для нормализации процесса снабжения кислородом окружающей ткани.
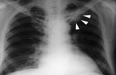
Если у больного присутствует центральный рак главного бронха, то опухоль имеет типичные симптомы, а потому опытный рентгенолог без труда распознает начало развития патологии. Центральный рак на рентгеновском снимке проявляется как тень, имеющая негомогенную структуру с бугристым контуром. С одной из сторон такая тень нередко оказывается покрытой язвами.
В том случае, если опухоль сдавливает другие органы, то в плевральной полости может появляться жидкость.
Если новообразование развилось в верхней части легкого, то его нередко принимают за туберкулезный инфильтрат. Однако если речь действительно идет о раке, то на рентгене явно заметны очаги разрушения. Затемнение, создаваемое опухолью, характеризуется неровным фестончатым контуром.
Опухоль является доброкачественной, если у нее присутствуют такие особенности:
- Окружность правильной формы.
- Четкие контуры.
Как проявляется на рентгене центральный рак легких?
Такая опухоль легкого на первых стадиях проявляется в виде следующих изменений:
- Появляется затемнение.
- При ателектазе отсутствует дифференцирование границ между сердцем и диафрагмой.
Помимо этого, их положение может несколько изменяться по отношению друг к другу. Но главным признаком заболевания является наличие затемнения, которое может иметь различную форму и размер. Пятно может быть и овальной формы, в случае расположения на периферии.
О злокачественном образовании можно говорить, если на рентгене присутствуют следующие признаки:
- Сосуды отклоняются, из-за чего присутствует их дистальное сближение.
- Интенсивность затемнения снижена из-за того, что закупоренный бронх страдает от недостатка вентиляции.
- Наблюдается ателектаз участка легкого (процесс спадения).
Рак экзобронхиального типа проявляется на рентгене такими отличительными чертами:
- наличие гиповентиляции,
- в прикорневой зоне присутствует бугристое образование,
- пятно обладает лучистыми контурами,
- наблюдается сужение просвета бронха,
- увеличение корневых лимфоузлов.
Присутствие хотя бы одной из вышеупомянутых характеристик говорит о том, что для подтверждения диагноза пациент должен пройти КТ или МРТ. Процедуры должны быть проведены как можно быстрее, поскольку новообразование может быстро увеличиваться, и спустя короткий отрезок времени пустить метастазы в расположенные рядом органы. Даже за месяц возможно существенное прогрессирование опухоли.
Рентгенограмма злокачественного образования в легких вызывает множество обсуждений среди пациентов и медицинских специалистов. Многие пациенты испытывают страх и тревогу при получении результатов, так как это может означать серьезные проблемы со здоровьем. Врачам важно объяснить, что рентгенография — это лишь первый шаг в диагностике, который помогает выявить аномалии, но не всегда дает окончательный диагноз.
Некоторые люди отмечают, что рентгенограмма помогает им лучше понять свое состояние и принять меры для лечения. Другие же выражают недовольство по поводу недостаточной информативности снимков, так как для точной диагностики часто требуются дополнительные исследования, такие как КТ или биопсия. Важно, чтобы пациенты чувствовали поддержку и понимание со стороны врачей, а также имели доступ к информации о своих заболеваниях. Открытое обсуждение результатов рентгенограммы может помочь снизить уровень стресса и повысить уверенность в дальнейшем лечении.
Как проявляется перибронхиальное образование на рентгене?
При перибронхиальной опухоли на рентгене рака легких заметны такие симптомы:
- бронхи имеют утолщенные стенки,
- отсутствует гиповентиляция,
- наличие грубых тяжей, идущих от края к корню,
- опухоль разрастается по стенке бронхиального дерева.
В случаях, когда рак легких на рентгене не имеет вышеописанных признаков, необходимо провести некоторые дополнительные исследования. МРТ или КТ назначаются, если рентгенолог не может поставить точный диагноз. Также может быть назначена диагностическая торакотомия. Она проводится в результате совещания онкологов и рентгенологов.
Раковый процесс в верхней части легкого может возникнуть из-за опухоли Панкоста. Данное образование имеет круглую форму и находится в ключичной области, поражая ребра и верхние позвонки. Диагностировать такое поражение при раке легких можно лишь после того, как будет проведена бронхоскопия, по результатам которой можно увидеть проходимость верхнедолевого бронха.
Если злокачественное образование характеризуется смешанной формой, то рентген легких способен выявить целый ряд патогенных признаков, среди которых выделяются такие:
- инфильтративный узел,
- культя бронха,
- наличие в плевральной полости выпота,
- большие размеры лимфоузлов, расположенных в районе грудины,
- проходимость бронхов нарушена,
- развитие перифокальной пневмонии.
Если имеется подозрение на наличие у пациента рака смешанной формы, то в большинстве случаев ему прописывается КТ.
Только томография позволяет во всей полноте изучить то, какого распространения достиг процесс, и произвести оценку состояния тканей, окружающих опухоль.
Случаи, при которых не удается обнаружить заболевание с помощью рентгена
Как уже говорилось выше, на первых этапах при раке легких он не проявляется на рентгенограмме. Дело в том, что опухоль в период своего развития проходит три этапа:
- При биологическом периоде присутствуют изменения клеточного генома с незначительным их размножением. Никаких внешних проявлений данный этап не имеет.
- Доклинический этап, при котором отсутствуют все клинические симптомы.
- И только на клиническом этапе проявляется вся симптоматика развития заболевания.
Наиболее эффективное лечение может быть осуществлено на первых двух этапах. Именно в этот период развитие опухоли является незначительным, а потому грамотное лечение может не только гарантировать положительный прогноз, но и отсутствие рецидивов в дальнейшем. Проблема заключается в сложности выявления заболевания на первых этапах.
Важно! При центральном раке наблюдается рост опухоли внутрь просвета. При прямой проекции это может быть скрыто тенью сердца.
Поэтому для своевременного выявления патологии специалисты чаще всего проводят снимок сразу в двух проекциях. Определить наличие ателектаза позволяет именно боковая проекция рентгена.
В каких случаях рентген позволяет точно определить злокачественную опухоль и метастазы?
Положительный рентген легких бывает в тех случаях, когда рост новообразования происходит внутрь ткани легкого. При этом болевые ощущения могут и не беспокоить пациента, но снимок рентгена позволяет распознать наличие злокачественной опухоли.
Периферический рак бывает двух видов:
- Панкоста или верхушечный рак характеризуется вовлечением в процесс нервных окончаний и плечевых сосудов. Клинически такое заболевание проявляется признаками остеохондроза. Потому многие пациенты проходят лечение у невропатолога, не подозревая о первоисточнике симптомов.
- Полостной, диаметр новообразования при котором может достигать 10 см, из-за чего опухоль может походить на кисту или туберкулез, а иногда – абсцесс.
Вышеописанный легочный раковый процесс легко поддается выявлению – его может показывать обычный рентгенологический снимок.
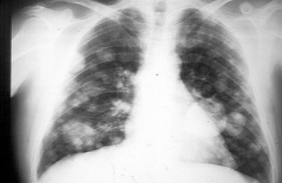
Метастазы в легких на рентгене могут быть определены и в прямой, и в боковой проекциях. Рентгеновский снимок способен показать специфические и неспецифические виды очагов с метастазами. Для некоторых опухолей характерен вид единичных очагов, характеризующихся средней интенсивностью. Метастазы имеют вид дорожек, а их контуры подрытые.
Метастатические поражения присутствуют у каждого третьего пациента, у которого диагностирован рак.
По результатам исследований рентгенолог делает заключение, в котором должно быть подробное описание контуров новообразования, его характер, форма и размеры. Также должны быть тщательно изучены окружающие опухоль мягкие ткани. Правильное лечение пациента во многом зависит от расшифровки рентгенограммы.
Вопрос-ответ
Какие признаки злокачественного образования можно увидеть на рентгенограмме легких?
На рентгенограмме злокачественного образования в легких можно увидеть такие признаки, как наличие узловых образований с нечеткими границами, увеличение лимфатических узлов, а также изменения в структуре легочной ткани, такие как уплотнения или затемнения. Эти изменения могут указывать на наличие опухоли.
Как рентгенография помогает в диагностике рака легких?
Рентгенография является первым этапом в диагностике рака легких, так как позволяет визуализировать изменения в легочной ткани. Она помогает выявить подозрительные образования, которые могут потребовать дальнейшего обследования, например, компьютерной томографии или биопсии для подтверждения диагноза.
Какие дополнительные исследования могут потребоваться после рентгенографии?
После рентгенографии могут потребоваться дополнительные исследования, такие как компьютерная томография (КТ) для более детального изучения легких, магнитно-резонансная томография (МРТ) для оценки распространенности опухоли, а также бронхоскопия для получения образцов ткани и подтверждения диагноза.
Советы
СОВЕТ №1
Обратите внимание на симптомы: если вы замечаете постоянный кашель, одышку, боль в груди или кровохарканье, не откладывайте визит к врачу. Раннее обнаружение злокачественных образований в легких значительно повышает шансы на успешное лечение.
СОВЕТ №2
Регулярно проходите медицинские обследования, особенно если вы находитесь в группе риска (курильщики, люди с наследственной предрасположенностью). Рентгенография легких может помочь выявить проблемы на ранних стадиях.
СОВЕТ №3
Обсуждайте результаты рентгенограммы с вашим врачом. Не стесняйтесь задавать вопросы о том, что именно показало исследование, и какие дальнейшие шаги необходимо предпринять для диагностики или лечения.
СОВЕТ №4
Изучите факторы риска и постарайтесь минимизировать их. Это включает отказ от курения, избегание воздействия токсичных веществ и поддержание здорового образа жизни. Здоровье легких напрямую зависит от вашего образа жизни.









