Некоторые диагностические процедуры предназначены для профилактики, чтобы своевременно определять развивающиеся патологии. Их выполняют с определенной периодичностью, благодаря чему удается обнаруживать болезни на ранней стадии их формирования.
Одной из таких процедур является флюорография грудной клетки, которую необходимо проходить каждому взрослому человеку не менее одного раза в год. Несмотря на распространение медицинских знаний в массы, многие люди до сих пор сомневаются по поводу необходимости проведения флюорографии легких.
Объясняется это тем, что данный метод предполагает облучение пациента рентген-лучами, воздействие которых считается вредным. Поэтому очень важно понять, что такое флюорография, для чего нужно ее делать, и как она проводится. Также стоит разобраться, вредна ли флюорография настолько, чтобы ее избегать.
- Показания
- Делают ли детям?
- Противопоказания
- Особенности расшифровки
- Отклонения
Что представляет собой этот метод?
Чтобы понять, зачем нужна флюорография, следует проанализировать информацию о данной процедуре. Самым простым ответом на вопрос, что такое флюорография, можно считать объяснение этого термина как диагностического метода. Чаще всего он используется для выявления заболеваний органов дыхания и сердечных патологий. С его помощью удается обнаружить такие болезни, как туберкулез, рак, бронхит и пр.
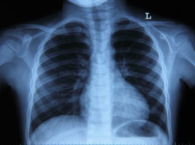
Флюорография – это фотография изображения грудной клетки обследуемого, что получается на экране благодаря рентгеновскому излучению.
Это изображение получается очень маленьким, но этого достаточно, чтобы обнаружить отклонения в исследуемом органе. На современном этапе все чаще используется цифровая флюорография, где вместо пленки применяется цифровой носитель. Это позволяет снизить лучевую нагрузку на пациента. Но в целом метод остается таким же, как раньше.
Необходимо понимать, что по результатам только такого обследования не стоит делать выводы. Обычно врачи используют дополнительные средства, чтобы подтвердить или опровергнуть полученные результаты. Из-за этого многим кажется, что флюорография легких не нужна, ведь обнаруженному в ходе нее диагнозу требуется подтверждение.
Но основное, для чего нужна флюорография, – это профилактика. Данный метод позволяет быстро обследовать большое количество людей, при этом в ходе него можно заподозрить имеющиеся отклонения. Именно в этом заключается ее значение.
Флюорография является важным инструментом в диагностике заболеваний легких. Врачи отмечают, что этот метод позволяет выявить множество патологий, включая туберкулез, пневмонию, опухоли и другие легочные заболевания. Регулярные флюорографические обследования помогают обнаружить изменения в легочной ткани на ранних стадиях, что значительно увеличивает шансы на успешное лечение. Специалисты подчеркивают, что флюорография особенно важна для групп риска, таких как курильщики или люди с хроническими заболеваниями. Кроме того, результаты флюорографии могут служить основой для дальнейших исследований, таких как компьютерная томография, что позволяет более точно установить диагноз и назначить адекватное лечение.

Показания
В большинстве случаев направление на флюорографию не нужно. Ее можно пройти по собственному желанию – это даже желательно для всех людей в возрасте от 16 лет. Но иногда на нее направляет специалист, если у него есть подозрения на развитие отклонений у пациента.
В профилактических целях такое обследование в первую очередь нужно следующим группам людей:
- первичным пациентам поликлиник (если до этого не проводилось),
- призывникам,
- людям, в семье которых есть беременные женщины и совсем маленькие дети,
- носителям ВИЧ,
- родственникам больных инфекционными болезнями дыхательной системы.
Также врачи направляют на флюорографию тех своих пациентов, у которых подозревают такие болезни, как:
- легочный туберкулез,
- сердечно-сосудистые заболевания,
- развитие опухолей (злокачественных и незлокачественных),
- воспалительные заболевания дыхательной системы.
Во всех этих случаях стоит делать флюорографию, чтобы убедиться в отсутствии проблем либо подтвердить их наличие и начать лечение.
Делают ли детям?
Очень многих родителей интересует, можно ли делать эту процедуру детям. Чрезмерной опасности для детского организма такое обследование не несет, но следует задуматься, есть ли смысл в ее проведении.
Поскольку цифровая флюорография подразумевает уменьшение изображения, достаточно сложно рассмотреть детали. Поэтому данный диагностический метод в детском возрасте отличается малой информативностью. Чем меньше возраст ребенка, тем труднее делать выводы по полученным результатам.
При этом данная процедура предполагает облучение организма. Дозы его минимальны, поэтому серьезных проблем обычно не возникает. Но опираться на такое исследование при диагностике тяжело. Поэтому для детей моложе 16 лет флюорография не делается. Для диагностики заболеваний дыхательной системы у детей используется рентген (если в этом есть необходимость).
Флюорография — это один из самых распространенных методов диагностики заболеваний легких. Многие люди отмечают, что этот простой и быстрый процесс позволяет выявить различные патологии на ранних стадиях. Например, флюорография может помочь обнаружить туберкулез, пневмонию, а также опухолевые образования. Пациенты часто делятся, что благодаря регулярным обследованиям им удается вовремя начать лечение и избежать серьезных последствий. Однако некоторые выражают опасения по поводу радиационной нагрузки, хотя современные аппараты минимизируют этот риск. В целом, большинство считает флюорографию важной частью профилактических мер, способствующих сохранению здоровья.
Противопоказания
Несмотря на то, что данный метод не наносит серьезного ущерба здоровью пациентов, и вреда от него значительно меньше, чем пользы, есть случаи, когда его использование запрещено.
Это:
- беременность,
- период грудного кормления,
- возраст меньше 16 лет,
- общее тяжелое состояние пациента.
Следует сказать, что в первых трех ситуациях проведение флюорографии допустимо. Но осуществляют ее лишь при большой необходимости и лишь после того, как учтены все факторы. Данный метод практически не вызывает побочных эффектов. Однако при его частом и нерациональном использовании повышается риск возникновения раковых заболеваний.
Проведение и получение результатов
Одним из преимуществ данного метода является то, что он очень простой в использовании как для врачей, так и для пациентов. Специальная подготовка к флюорографии не нужна. Основное требование – не кушать непосредственно перед флюорографией.
Важно, чтобы в помещении не было холодно, поскольку пациенту придется снять одежду с верхней части туловища. Также надо убрать все украшения с этой зоны.
О том, как делают флюорографию, знают почти все. После того, как пациент снимет лишние предметы одежды, ему следует прижаться грудной клеткой к экрану, опершись подбородком на специальную подставку. Во время выполнения снимка полагается вдохнуть и задержать дыхание. Вся процедура занимает не больше 5 минут, после чего можно уйти из кабинета ФЛГ. Результаты флюорографии предоставляют на следующий день.
https://youtube.com/watch?v=vvkA4JFkDGQ%3Ffeature%3Doembed
Особенности расшифровки
Расшифровка результатов должна выполняться специалистом. При этом врач должен обладать достаточным уровнем опыта в этой области, чтобы он могправильно оценить флюорографический снимок. Несмотря на то, что отсутствие патологий может распознать даже человек без специальных знаний, лучше предоставить это дело врачу. Особенно это касается случаев, когда результат флюорографии не соответствует ожиданиям.
Следует знать, что показывает флюорография, чтобы не паниковать, услышав о выявленных отклонениях. Это исследование может показать самые разные особенности, и далеко не всегда они представляют серьезную опасность.
Существует специальная таблица отклонений и их признаков на снимке. Кроме этого, имеется вероятность нарушения техники выполнения, из-за чего и наблюдаются явления, не соответствующие норме. Поэтому при их обнаружении могут назначить повторную процедуру либо дополнительное обследование.
Флюорография предполагает определенные результаты, норма для которых, это – четкий рисунок дыхательных органов. В пределах одной и той же ткани не должно наблюдаться затемнений или светлых пятен. Именно такая расшифровка флюорографии считается нормальной.
Отклонения
Для пациентов важно, что может быть выявлено в ходе такого обследования. Следует сказать, что флюорография покажет очень многие проблемы – даже на начальном этапе их развития. В первую очередь на изображении видно, что пациент курящий.
Легкие курильщика обычно отличаются тяжистыми корнями. Именно это позволяет узнать, что перед врачом флюорография курильщика. Тревожиться на этот счет не нужно, хотя многие отказываются от такого обследования именно из-за того, что о вредной привычке узнает врач (якобы специалист станет упрекать из-за того, что куришь).
Доктор не занимается перевоспитанием больных, поэтому он просто констатирует факт вредного пристрастия, не более. Хотя курение является очень опасной привычкой для органов дыхания и организма в целом. Также указанная особенность может говорить о развитии бронхита.
При расширенных и уплотненных корнях можно предполагать такие заболевания, как бронхит или пневмонию. Усиленный сосудистый рисунок наблюдается при чрезмерном кровоснабжении. Данное явление может стать признаком воспалительного процесса или проблем с сердечно-сосудистой системой.
При наличии очаговых теней следует учитывать их расположение. Если они обнаружены в нижней или средней части легкого, то это признак пневмонии. Верхнее расположение таких теней позволяет предположить развитие туберкулеза.
Кроме этих, на снимке могут быть обнаружены и другие отклонения. Важно, чтобы заключение флюорографии делал врач, поскольку только он может правильно оценить выявленные особенности. Также следует учесть, что показанный на снимке результат иногда бывает ошибочным, если была нарушена техника выполнения.
https://youtube.com/watch?v=ILvsgZ3WR_0%3Ffeature%3Doembed
Вопрос-ответ
Что можно выявить с помощью флюорографии?
Что видно на флюорографических снимках Представленный скрининговый метод помогает выявить любые патологии системы органов дыхания и сердца. В первую очередь флюорография грудной клетки дает понять, есть у человека туберкулез, пневмония, доброкачественные и злокачественные опухоли.
Что нельзя увидеть на флюорографии?
Существенно сказаться на результатах флюорографии могут посторонние предметы, оказавшиеся в области датчика аппарата: волосы, металлические аксессуары, украшения. Разовая флюорография не оказывает вредного воздействия на организм человека.
Что может увидеть врач на флюорографии?
Это скрининговое обследование показывает воспалительный процесс, инородные тела, опухолевые образования, скопление инфильтрата, полости нефизиологического характера (различные кисты). На флюорографии даже видно, если пациент курит.
Можно ли по флюорографии увидеть, что человек курит?
С помощью флюорографии выявить курящего человека невозможно. Это можно сделать лабораторными анализами (по содержанию никотина и смол в волосах или ногтях.
Советы
СОВЕТ №1
Перед прохождением флюорографии убедитесь, что у вас нет противопоказаний, таких как беременность или тяжелые заболевания. Обязательно проконсультируйтесь с врачом, если у вас есть сомнения.
СОВЕТ №2
Регулярно проходите флюорографию, особенно если вы находитесь в группе риска по заболеваниям легких. Это поможет выявить потенциальные проблемы на ранней стадии и повысит шансы на успешное лечение.
СОВЕТ №3
Обратите внимание на результаты флюорографии и не игнорируйте рекомендации врача. Если вам назначены дополнительные обследования или консультации, следуйте этим указаниям для более точной диагностики.







